Tomografo Cone Beam 3D – Dentascan CBCT

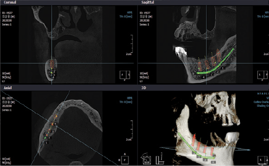
Il Tomografo Cone Beam (detto anche CBCT Tomografia Computerizzata Cone Beam) è un macchinario in grado di ottenere immagini del massiccio facciale attraverso l’emissione di una dose molto bassa di raggi X, restituendo immagini 3D di altissima qualità delle ossa mascellari e dei denti.

Quando viene utilizzato?

L’esame eseguito con il Tomografo Cone Beam è molto flessibile risultando dunque necessario, per differenti tipologie di impiego tra le quali:

  • Pianificazione terapeutica mediante trattamenti implantari
  • Programmazione di chirurgia implatare guidata
  • Follow up di trattamenti implantari
  • Individuazione di fistole, sinusite mascellare odontogena e processi infiammatori periradicolari
  • Studio anomalie della dentizione (anomalie di posizione dei denti del giudizio o dei canini)
  • Studio di aree di sclerosi e disomogeneità ossea dei mascellari
  • Studio in 3D delle articolazioni temporo-mandibolari
  • Studio in 3D dei seni mascellari 

Puoi effettuare il Dentascan prenotando l’esame al nostro servizio di prenotazione CUP

Quanto costa?

1 Arcata € 100,00
2 Arcate € 140,00

Per appuntamenti puoi prenotare online oppure chiamare il CUP al numero verde 800.58.49.26 | oppure attraverso il form di richiesta nella nostra pagina contatti.

Domande Frequenti sul Dentascan

L’esame ha la durata di pochi secondi e può essere eseguito sia in piedi che in posizione seduta.

Il tomografo cone beam è esteticamente simile ad un ortopantomografo ed il posizionamento del paziente è semplice, del tutto simile a quello di un comune esame di ortopantomografia delle arcate dentarie con durata dell’esame superiore di solo qualche secondo.

La tecnologia della CBCT permette di ottenere immagini precise a dimensioni reali tridimensionali e ad alta risoluzione con tempi di scansione ridotti.

La tecnologia utilizzata in questo studio utilizza nuova generazione di sensori “multifocali” Ray (by Samsung©) hanno una sensibilita? “visiva” maggiore ed una dimensione maggiore che migliora la qualita? dell’immagine con dosi raggi sempre piu? ridotte.

La CBCT ed in particolare l’apparecchio del nostro studio il Rayscan Alpha, confrontata con la CT assiale tradizionale, emette una quantità di radiazioni notevolmente inferiore (fino a 100 volte inferiore) e corrisponde a quella assorbita in circa 4 ore di volo aereo,  permettendo allo stesso tempo un’ottima risoluzione dell’immagine e una quantità di informazioni maggiori e possibilità di ripetizione dell’esame per controlli successivi a un esposizione contenuta.

Diagnostica per immagini

a servizio degli specialisti

Radiodiagnostica

Aperta

Alta risoluzione basso dosaggio

metodo DEXA

Laboratorio Analisi

analisi cliniche e microbiologiche

Il Laboratorio Analisi del Centro Diagnostico Sabatino, ad Anguillara Sabazia (Roma), si avvale sia dal punto di vista della strumentazione sia dal punto di vista professionale delle migliori risorse a disposizione per effettuare analisi cliniche e microbiologiche.

Struttura all’avanguardia che può vantare, come poche altre nella provincia di Roma, strumenti di lavoro appartenenti alle rispettive ultime generazioni attualmente disponibili sia in termini di hardware che di software.

I Prelievi

Per gli esami di routine i prelievi sono effettuati dal lunedì al venerdì dalle ore 7.30 alle ore 10.00 e la domenica dalle ore 8.00 alle ore 10.oo .

Siamo convenzionati con le maggiori Compagnie assicurative e Fondi di assistenza sanitaria integrativa.

E’ possibile richiedere prelievo a domicilio contattando il nostro Servizio di Assistenza Domiciliare al numero verde 80.58.49.26

ARCHITECT ci4100 offre una cadenza analitica massima di 900 test/ora, 800 test di clinica chimica e 100 di immunometria. Con una capacità di caricamento di 180 campioni con 35 posizioni prioritarie, dispone di ben 115 posizioni reagenti refrigerate e di Tecnologia ISE in chip integrato (Na+, K+ e Cl-).

Devi fissare un appuntamento?

Chiama il CUP del Centro 800.58.49.26 o compila il form online.